Robotic Digital Dentistry|Evolution or Revolution?

Digital Dentistry|Robotic-Dentistry

What is Robotic Dentistry?

Visits to our dental practice are now faster than ever!!!

Porcelain veneer|Tooth crown|Tooth inlay/onlay WITHIN A DAY?

The speed of preparation and delivery of the above dental restorations, even tooth bridge (3 units)  is done only within one visit with metal free white-dental-restorations, like for example all-ceramic zirconia crowns or porcelain veneers with maximum accuracy!!!

Robotics meets Dentistry|How are tooth crowns manufactured?

5 Easy steps!

1. In our Dental Office a digital impression of the teeth is obtained from the dentist with a special intraoral scanner (3shape intraoral scanner) and the restoration is designed three-dimensionally on the computer whether it is porcelain veneer|tooth crown|Tooth inlay|tooth onlay.

See video:

2. A cad/cam porcelain block in the color of our choice is inserted into a dental mill (Dental Milling Machine) where the restoration is sculpted.

See video:

3. In 20 minutes the Porcelain veneer|Tooth crown|Tooth inlay|Tooth onlay have already been sculpted.


4. Next step is polishing/glazing in special ovens.
5. Finally, bonding of the porcelain veneer or tooth crown/bridge follows.

 

What are the advantages of Robotic Dentistry?

Tooth Restoration with robotic dentistry|cad/cam technology excels at:

  • Aesthetic
  • Functionality
  • new generation materials for restoration, metal free frame
  • biocompatibility
  • Resistance in compression.

Our Dental Office is connected directly digitally:

  • with specialised world-class dental laboratories
  • for the creation of complex implant supported restorations or implant restoration of fully edentulous areas of the upper and lower jaws.

As a matter of speech, ONLY one click separates us with the Dental Laboratory!

In short, robotic dentistry:

  • creates a digital copy, obtained by the Dental Technician Instantly. Eliminates the need for the classic method with trays and dental impression materials (patient intolerance).
  • the creation of digital digital smile / smile design
  • simplifies tooth treatment
  • helps the patient save time|by improving their quality of life (Tooth sheath in a Day!)
  • helps avoid suffering and unnecessary pain (part of Painless Dentistry)
  • and saves money
  • requires little to no anesthesia and tooth preparation.
  • Excellent quality of work with perfect aesthetics and tooth function!

 

The video below is indicative of the rapid impression taking of the teeth with our 3shape Trios system in our Dental Office!

 

Do you want to see what your smile will look like before treatment even begins?

With the help of special imaging software of the Digital|Robotic Dentistry:

  • we digitally enhance a photo of your smile
  • we show you what to expect from our recommended cosmetic dentistry.
  • we see the changes in your smile BEFORE we even start cosmetic dentistry with restorations such as porcelain veneers or Composite Resin veneers!

The video below is indicative of the above procedure| Smile Design we just described:

 

 

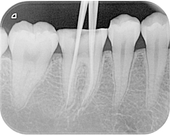
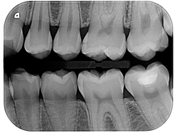
Digital Xrays

Using a small sensor placed briefly in the mouth, an x-ray image of high analysis is obtained.

This sensor functions as a miniature camera that is more sensitive to the radiation of the radiographic apparatus with respect to the normal light.

 

 

Intraoral camera

The intraoral camera is a small camera that allows us to see clear and accurate images of the mouth, teeth and gums and to make accurate diagnoses.


Besides the camera, the doctor uses a semi-professional camera that produces high-resolution images.

These provide a more accurate diagnosis and also used for greater accuracy during all complex reconstructive and cosmetic cases.

 

Digital Photos

The doctor is using a professional Digital photo – Nikon D3200 for assisting the dental technician to see the minor details necessary for the achievement of the best possible aesthetic results.

 

Minimal Invasive Dentistry

This is the restoration of teeth with the least invasive and conservative way.

The owner of this website has made a commitment to accessibility and inclusion, please report any problems that you encounter using the contact form on this website. This site uses the WP ADA Compliance Check plugin to enhance accessibility. Skip to content